PR

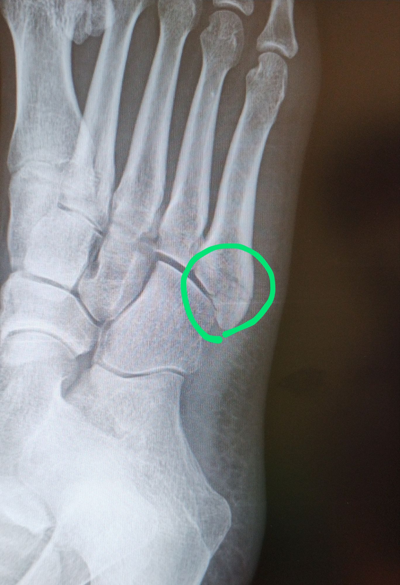
骨折中に作成が進む

ティッシュケース
アップサイクルポーチ
ペサラットゥ

身軽に動けない、車にも乗れない、歩き回れないので、今まで作ろう作ろうと思ってて、後回しになっていたものを作ってみた。

家の柱というか枠?というかも、拭いてキレイにしたり、家の細かいことが進んだ♫

この状態でもいいと、腰痛のお客さまが来てくださり、本当に嬉しい限り。

来週もお友だちにお手伝いを頼まれたりと、今の私でもできることがあるって、本当にありがたい。

コメント